Ende dieses Seitenbereichs.

Uni Graz und TU Graz bauen aus: In einem neuen Research Studio, das ab 1. Mai 2017 startet, sollen Forschungen zu Stoffwechselerkrankungen vorangetrieben wird und Medikamente entwickelt werde. Foto: Uni Graz/Lunghammer

Uni Graz und TU Graz bauen in Zukunft die Erforschung von Stoffwechselerkrankungen weiter aus

Weiterlesen

Seit 2008 organisieren DoktorandInnen Mini-Kongresse als Plattform zum Austausch von PhD-Forschung.

Weiterlesen

John Shervais startet als NAWI Graz Fulbright Professor, Kirsten van Zuilen als Gastprofessorin der TU Graz.

Weiterlesen

Ein Standort, zwei Universitäten, 21 gemeinsame Studien: NAWI Graz, die naturwissenschaftliche Kooperation von Karl-Franzens-Universität und…

Weiterlesen
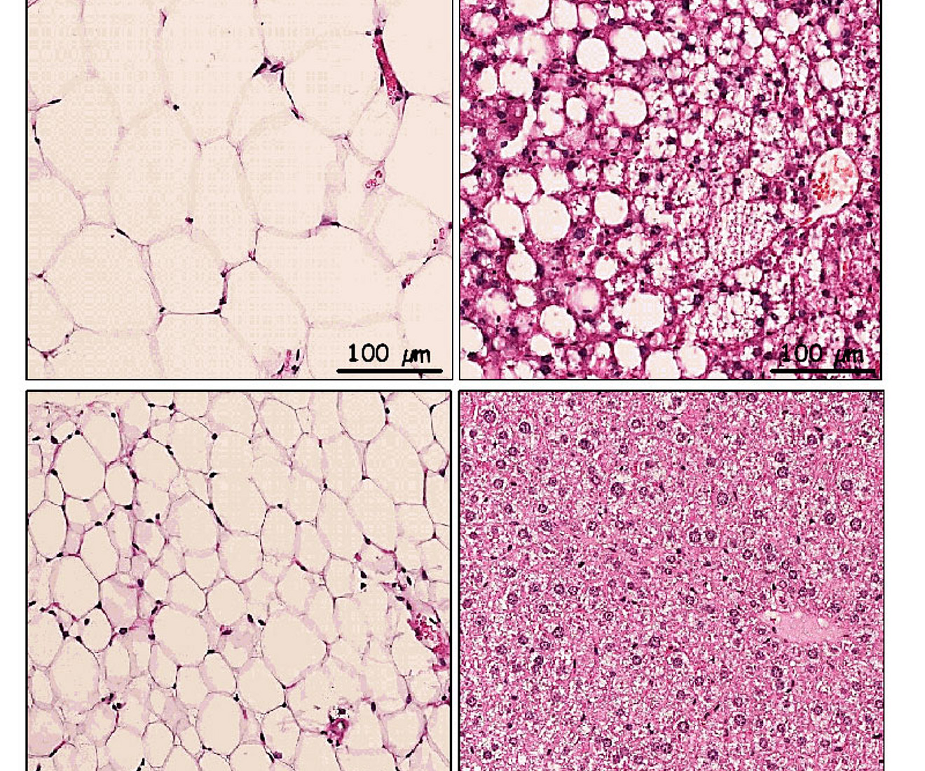
Die Behandlung mit Atglistatin reduziert Fettmasse und verhindert nicht-alkoholische Fettleber trotz fettreicher Ernährung. Foto: Sohsuke Yamada

Grazer ForscherInnen entwickeln Wirkstoff zur Behandlung von Fettleibigkeit und deren Folgeerkrankungen

Weiterlesen
Verleihung Josef-Krainer-Preise

NAWI Graz Dissertant ausgezeichnet

Weiterlesen

Auch heuer wieder tritt ein Team von NAWI Graz Studierenden beim Wettbewerb der „International Genetically Engineering Machine Foundation“ (iGEM) an.…

Weiterlesen

Wieder wurden NAWI Graz Absolventinnen gemeinsam spondiert: Am 13.3.2017 wurde an der TU Graz unter dem Vorsitz von Dekan Gerald Zenz, Studiendekan…

Weiterlesen

Spannende Freifächer stehen zur Anmeldung bereit!

Weiterlesen
TU Graz, FIT Informationstag 2017, Frauen in die Technik


Für Schülerinnen in der Oberstufe ist er bereits eine richtige Institution: Der FIT Infotag im Februar bietet nicht nur Informationen zum…

Weiterlesen

Prof. Proctor lehrt im Sommersemster zwei Lv als Gastprofessor der Uni Graz.

Weiterlesen

Gunther Leobacher beginnt im Februar 2017 als neu berufener Professor für Stochastik.

Weiterlesen